India reportó al menos 8.848 casos de mucormicosis, también llamado hongo negro, según datos compartidos por el Ministerio de Productos Químicos y Fertilizantes del país lo que llevó al gobierno a asignar más medicamentos a los estados y territorios del país.

Hasta la última semana se habían detectado casos de mucormicosis en 23 de los 36 estados y territorios de la India, consigna CNN y algunos especialistas mencionan la palabra “epidemia” como horizonte no muy lejano.

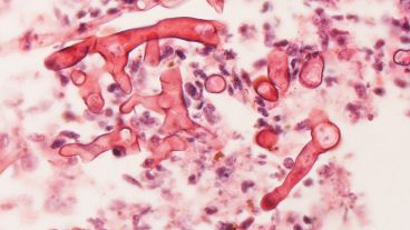
El hongo negro es una infección cuyos casos aumentaron entre los pacientes que se han recuperado de la covid-19, especialmente en pacientes que padecen diabetes.

La enfermedad habitualmente aparece en pacientes con algún tipo de inmunodeficiencia y es causada por la exposición al moho que suele encontrarse en el suelo, abono, las plantas, así como en frutas y verduras en descomposición. 

Por su parte, los médicos indios la consideran actualmente una complicación poscovid.

Entre los síntomas del mal destacan el dolor y enrojecimiento alrededor de los ojos y la nariz, jaquecas, fiebre y tos. Además, puede manifestarse con dificultades respiratorias, vómitos con sangre e, incluso, un estado mental alterado.

Para más datos, la mucormicosis muestra una tasa de mortalidad del 50 por ciento.

Hasta este lunes, la India había reportado 26,7 millones, de personas contagiadas de coronavirus. El desarrollo del hongo negro entre aquellas personas que atravesaron la enfermedad prefigura un escenario de posible pandemia.