Un equipo de investigación chino desarrolló un revolucionario "pegamento para huesos" que puede curar fracturas en solo 3 minutos con una sola inyección. El producto "Bone-02" fue creado para solucionar lesiones ortopédicas que tradicionalmente requerirían meses de inactividad y cirugías invasivas.

Lin Xianfeng, cirujano ortopédico jefe asociado del Hospital Sir Run Run Shaw, en Hangzhou, destacó que el adhesivo puede lograr una fijación precisa en cuestión de minutos, incluso en entornos con mucha sangre. El tratamiento se realiza en forma de una única inyección y puede unir los fragmentos de hueso rotos en solo tres minutos, según informó el medio estadounidense New York Post.

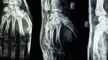
En un caso de prueba, un paciente con una fractura de muñeca recibió una inyección a través de una incisión de apenas 3 cm y se curó en solo tres minutos, según informó el medio chino Cho Sun Daily. Después de un control de seguimiento de tres meses, la fractura del paciente se había curado completamente sin complicaciones.

Los investigadores se inspiraron en las ostras, que tienen la capacidad de adherirse a superficies submarinas difíciles de manipular para los adhesivos tradicionales. El "pegamento para huesos" también puede ser absorbido naturalmente por el cuerpo a medida que el hueso sana, eliminando la necesidad de una segunda cirugía para retirar los implantes.

Las pruebas iniciales indican que el uso de pegamento para huesos produce menos infecciones que los procedimientos con placas de metal. Los desarrolladores afirmaron que este innovador producto podría revolucionar el tratamiento de fracturas y lesiones ortopédicas en todo el mundo.