Especialistas del Centro Médico de la Universidad de Texas (Estados Unidos) informaron sobre el extraño caso clínico de un hombre que eyaculó por el ano en un artículo publicado en la revista Cureus. En el mismo se detalla que se trata de “un paciente con una lesión en su tracto urinario”.

El artículo titulado "Un curioso caso de eyaculación rectal" (A Curious Case of Rectal Ejaculation) respeta el desarrollo de un “reporte de un caso”, una categoría bajo la que agrupan casos clínicos que tienen, de alguna manera, características especiales.

En él, los médicos relatan que el paciente, de 33 años, llegó al centro sanitario tras “cinco días de dolor en sus testículos”.

Además –se detalla– el hombre había presentado en los últimos dos años una cantidad considerable de esperma y orina en su recto y padecía pneumaturia, tal como se conoce a la afección que hace que se expulsen de gases por la orina.

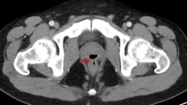
El equipo médico resolvió hacerle una tomografía y un cistouretrograma miccional de la pelvis, es decir un examen en el que se hacen rayos X de la vejiga y del tracto urinario.

Luego de tener en sus manos los resultados, se percataron de que había varios problemas.

Por un lado, los especialistas detectaron infección en el tracto urinario, inconvenientes en la pared rectal y algo un poco inquietante: una “fístula rectal-prostática”.

En otras palabras, observaron una especie de “pasaje” anormal entre la uretra y el recto. A través de él estaban pasando algunos líquidos y sólidos.

“Las fístulas recto-uretrales son comunicaciones patológicas poco frecuentes entre el recto y el tracto urinario inferior con una incidencia de 0,5 por cada 100.000 habitantes por año. La mayoría de los casos de adultos son adquiridos, mientras que la mayoría de los casos pediátricos se deben a anomalías congénitas”, explican los autores del artículo.

En ocasiones, las fístulas son producto de “cirugías, radiación, traumatismo y estados inflamatorios como la enfermedad de Crohn. La mayoría de los casos están relacionados con el cáncer de próstata o son causados por la terapia del cáncer de próstata”.

Para saber con precisión qué había ocasionado ese problema, los médicos hicieron un estudio exhaustivo en el que descartaron la presencia de enfermedades como tuberculosis o enfermedad inflamatoria intestinal.

E paciente, por su parte, negó haber tenido cirugías abdominales previas, traumatismo rectal o haber tenido penetraciones.

Tras descartar un listado de patologías, concluyeron que la fístula estaba asociada con una sonda Foley que le habían colocado dos años atrás cuando tuvo una intoxicación por cocaína.

Este dispositivo suele estar hecho de plástico o caucho y se introduce en la vejiga para vaciarla de orina. Es posible, apuntaron los médicos, que haya sido el causante de la lesión.