Muchas veces, los detalles más imperceptibles y menos apreciables son los que terminan teniendo un impacto más profundo en nuestras vidas. Un pixel apenas más oscuro en una radiografía, una variación milimétrica en una lesión o una fluctuación casi indetectable en nuestro ritmo cardíaco o en los patrones de ondas cerebrales puede ser la diferencia entre detectar una enfermedad a tiempo o cuando ya es demasiado tarde.
Afortunadamente, la tecnología y la ciencia han evolucionado lo suficiente como para encontrar significado en las señales más pequeñas, y es justamente esa capacidad de leer lo aparentemente invisible donde la inteligencia artificial comienza a marcar la diferencia en la medicina. Mientras el ojo humano, por más entrenado que esté, puede pasar por alto sutilezas en la enorme cantidad de imágenes analizadas diariamente, los algoritmos de aprendizaje automático pueden detectar correlaciones que escapan incluso a los profesionales más experimentados.
No se trata de ver a la IA como un rival que intenta reemplazar al médico, sino como una herramienta destinada a complementar sus habilidades. Este trabajo colaborativo no solo permite llegar a un diagnóstico con mayor velocidad y precisión, sino que también libera al especialista de tareas repetitivas y desgastantes, dándole la posibilidad de dedicar más tiempo a lo que verdaderamente exige todos sus conocimientos y experiencia: la comunicación con el paciente y la interpretación de los datos clínicos. Porque, tanto ayer como hoy, muchas decisiones médicas complejas involucran factores emocionales que ningún algoritmo puede llegar a comprender del todo.
Estas aplicaciones de la inteligencia artificial no son promesas futuristas, sino realidades que ya están transformando la práctica de la medicina. En lugar de esperar a que una enfermedad se manifieste a través de síntomas evidentes para diagnosticarla y tratarla, este enfoque preventivo identifica riesgos y signos tempranos para anticiparse. Se trata de un cambio total en el paradigma de la atención médica, de una magnitud comparable al descubrimiento de la penicilina por Alexander Fleming en 1928. Así como este antibiótico salvó millones de vidas al permitir curar infecciones que antes resultaban mortales, hoy la IA abre la posibilidad de adelantarse a enfermedades antes de que se vuelvan incurables.
Un ejemplo concreto de este antes y después en la historia de la salud se encuentra en la detección del cáncer de mama. Aquí, los algoritmos de aprendizaje automático demostraron una rigurosidad extraordinaria para identificar señales microscópicas que indican un comportamiento celular anormal. Un estudio realizado en Suecia entre casi 106.000 mujeres de entre 40 y 74 años reveló que el screening asistido por IA detectó un 29% más de casos de cáncer de mama en comparación al método convencional de doble lectura por radiólogos. Además, este aumento en la detección incluyó un 24% más de tumores invasivos en etapa temprana y un 51% más de lesiones precancerosas, factores decisivos para mejorar el pronóstico y evitar tratamientos más agresivos.
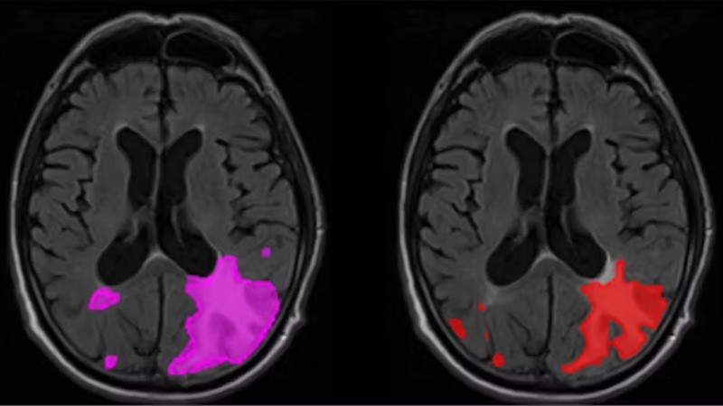
La interpretación de imágenes es tal vez una de las aplicaciones más maduras y visibles de la IA en la medicina. Los algoritmos de aprendizaje profundo, una rama más avanzada del aprendizaje automático, ya demostraron que pueden analizar radiografías, tomografías computarizadas, resonancias magnéticas y hasta muestras de tejido con una velocidad y precisión superiores a los procedimientos tradicionales, llegando incluso hasta elaborar informes detallados.
Un estudio publicado en junio de 2025 mostró cómo la incorporación de inteligencia artificial generativa en tiempo real dentro del sistema de imágenes permitió que los informes se redactaran automáticamente mientras el radiólogo analizaba los estudios, produciendo un borrador que luego era revisado por el especialista. Esta integración no solo mantuvo la calidad del diagnóstico, sino que además redujo drásticamente los tiempos de trabajo, con mejoras en la eficiencia que llegaron hasta el 40%. Además, esta herramienta incluye funciones de triaje automatizado, de modo que si el sistema detecta una condición grave, la marca y la compara con el historial del paciente para alertar al radiólogo de inmediato, incluso antes de que este haya revisado las imágenes.
Pero la inteligencia artificial en medicina no se limita a la interpretación de imágenes radiológicas. Sus aplicaciones se extienden a múltiples áreas de la práctica clínica, con resultados que ya comienzan a plasmarse en la prevención y el diagnóstico de los pacientes. En cardiología, por ejemplo, algoritmos entrenados en electrocardiogramas pueden identificar anomalías sutiles que indican cardiopatías antes de que el paciente presente síntomas. Así, enfermedades poco frecuentes y difíciles de diagnosticar, como la amiloidosis cardíaca, están comenzando a ser detectadas con mayor fiabilidad.
Un modelo desarrollado por investigadores de la Mayo Clinic y de la Facultad de Medicina de la Universidad de Chicago, es capaz de analizar en segundos el video de un ecocardiograma y determinar con exactitud si un paciente podría tener amiloidosis, acertando en un 85% de los casos cuando la enfermedad está presente y en un 93% cuando no lo está. Como en muchos otros escenarios, la detección temprana de esta enfermedad resulta fundamental, ya que los nuevos tratamientos son más efectivos en las primeras etapas, mejorando considerablemente la calidad de vida de los pacientes.
En oftalmología, puede detectar retinopatía diabética, la principal causa de ceguera en adultos en edad laboral, examinando fotografías del fondo de ojo, o predecir el riesgo de desarrollar glaucoma años antes de que el paciente note un cambio en su visión. Mientras que en dermatología, los algoritmos pueden identificar melanomas y otros tipos de cáncer de piel con una seguridad comparable, e incluso superior, a la de los dermatólogos humanos, permitiendo el diagnóstico anticipado y aumentando drásticamente la tasa de supervivencia.
En el campo de la salud mental, por ejemplo, ya existen sistemas de IA capaces de reconocer señales prematuras de enfermedades a partir del análisis de la voz y de los hábitos cotidianos. Así, al examinar la actividad física y los patrones de sueño, junto con características del habla como el tono, el ritmo y el volumen, puede evaluar el estado emocional y ayudar al profesional a llegar a un diagnóstico más fundamentado. La integración de estos tipos de datos a través del análisis multimodal -lo que la persona hace, lo que dice y cómo lo dice- permite llegar a conclusiones más sólidas que si se examinara cada variable por separado.
Cada una de estas aplicaciones comparte el mismo principio fundamental: la capacidad de encontrar indicios en datos que, para el ojo humano, pueden ser pasados por alto, ya sea porque parecen rutinarios, porque son demasiado sutiles o por la fatiga acumulada del trabajo diario. En manos de un médico especializado, la IA es una herramienta poderosa que multiplica sus recursos y amplifica su visión. Lo que estamos presenciando trasciende la simple incorporación de una nueva tecnología. Es el amanecer de una medicina anticipatoria capaz de hacer visible lo invisible, diagnosticar a tiempo, tratar mejor y, en muchos casos, escribir una nueva página en una historia que parecía haber llegado a su final.



