Una insólita situación vive una italiana de 19 años, quien acudió a una consulta médica después de descubrir que le estaba creciendo pelos en las encías, a lo que los especialistas estudiaron el caso y llegaron a la conclusión de que la joven sufría de un trastorno hormonal conocido como "síndrome de ovario poliquístico".

En la consulta realizada a los profesionales de la salud, la paciente se quejaba no solo de la presencia de pelos en la boca, sino también del exuberante vello que le había salido en distintas regiones del mentón y del cuello.

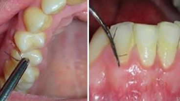
Los especialistas los eliminaron y realizaron un estudio del tejido interno de la boca. Según una investigación publicada en una revista científica, la mujer regresó unos meses después con una presencia aún más generalizada de vello distribuido en las encías de ambos arcos.

La aparición de cabellos en la cavidad oral es un evento extremadamente raro y sus causas son desconocidas. Este es un caso raro de hirsutismo“, sostuvo Khrystyna Zhurakivska, del departamento de Medicina Clínica y Experimental de la Universidad de Foggia y autora principal de la investigación.

¿Qué es el hirsutismo?

 

El hirsutismo es un desarrollo excesivo de vello debido a un trastorno de las glándulas suprarrenales, especialmente en las mujeres. Generalmente ocurre en la cara, el pecho y la espalda y es una irregularidad vinculada al síndrome de ovario poliquístico, que lleva a las afectadas a producir más testosterona de lo normal. Una revisión de la literatura médica encontró solo cinco casos iguales detectados, la mayoría de los cuales “describieron un solo cabello localizado en distintos sitios de la cavidad oral”.

Según publicó Crónica, en todas estas ocasiones anteriores, que surgen a partir de la década del 60, los afectados siempre habían sido hombres.

Dado que el problema del vello en esta chica italiana parecía estar inactivo mientras usaba el tratamiento para el síndrome de ovario poliquístico, los especialistas entienden que es probable que mantener el procedimiento continuo “ayude a mitigar la anomalía”.