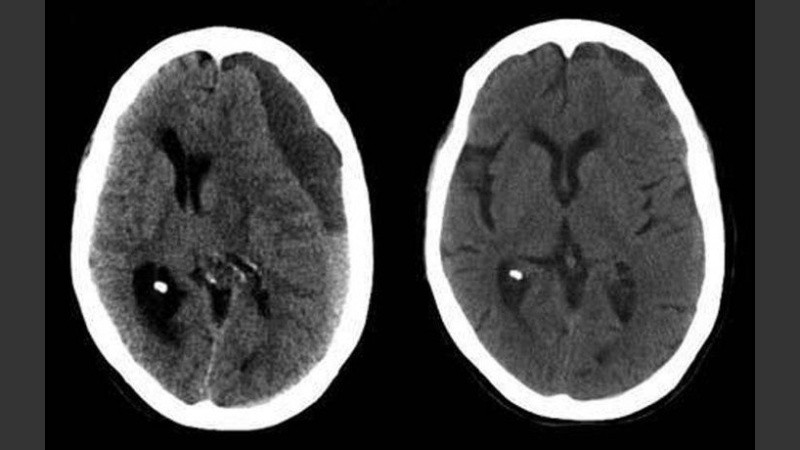
El ministro de Salud de la Nación, Ginés González García, continuaba internado este miércoles a la noche en el Sanatorio Otamendi de la ciudad de Buenos Aires por un hematoma subdural y aseguró que este jueves a la mañana recibirá el alta y volverá a trabajar. "Estoy fenómeno", aseguró en diálogo con Telenoche.
El funcionario explicó, en comunicación telefónica con los periodistas Diego Leuco y María Laura Santillán, que fue a ese centro de salud, donde se atiende regularmente porque corresponde a su bra social, al notar un "hormigueo en la mano izquierda".
"Yo tenía que venir para hacerme un control de una cirugía que me hice hace un año, y aproveché para que me hicieran todos los análisis de laboratorio y tomografías por ese signo", sostuvo.
"Yo estoy fenómeno, con ganas de volver a trabajar", insistió y contó que consultó si había posibilidad de que tuviera que someterse a una intervención quirúrgica y le dijeron que no.
"Sí tengo que seguir haciéndome estudios y ser cuidadoso ante cualquier síntoma. Me dijeron que me voy mañana a la mañana", explicó.
Santillán le consultó si pensaba realizarse un test de coronavirus tras haber permanecido este miércoles internado en la clínica, pero la respuesta del médico fue contundente: "No, ¿para qué? No me gusta hacer cosas que no tienen sentido. No tengo ningún síntoma, ninguna indicación para hacer el hisopado, sería en este caso absolutamente innecesario, sería solo para los medios".
En 2013, la expresidenta Cristina Fernández de Kirchner, fue operada en la Fundación Favoloro, luego de que se le detectara la misma afección, un hematoma subdural, tras presentar un cuadro de cefaleas.
El propio ministro confirmó que tiene la misa afección por la que fue operada Cristina e incluso bromeó: "No es por disciplina partidaria".



