Un equipo de arqueólogos analizó los restos de tres momias egipcias correspondientes al periodo romano tardío —entre finales del siglo III y del siglo IV d.C.—, y descubrió que al menos una de ellas aún conserva el cerebro y otros órganos internos. Estos hallazgos, que aparecen recogidos en la revista Plos One, fueron posibles gracias al uso de nuevos escáneres especializados.
Mediante análisis de tomografía computerizada, los investigadores lograron obtener información sobre el estado de conservación de los cuerpos, la técnica de momificación artificial usada, la edad de los individuos en el momento de la muerte, así como su género, altura y salud.
Las momias, que se corresponden con un hombre adulto, una mujer de mediana edad y otra mujer joven, son las únicas cubiertas de estuco que se han encontrado en la antigua necrópolis de Saqqara. En el proceso, los cuerpos se colocaban sobre tablas de madera antes de se envueltos en tela, yeso y oro, añadiéndose en la superficie un retrato de cuerpo entero.
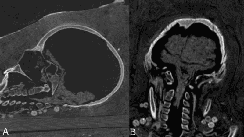
"Las investigaciones radiológicas anteriores de las momias de los períodos romanos ya revelaron que algunas no mostraban evidencia de extirpación del cerebro y de los intestinos. La identificación del cerebro conservado en el caso de la mujer joven apoya, por lo tanto, esta idea", explicó a IFLScience, el investigador principal del estudio, Stephanie Zesch.
En este sentido, el experto considera el hallazgo como una prueba del cambio de técnicas aplicadas en el tratamiento corporal previo a la momificación, pues la práctica común en Egipto contemplaba la eliminación del cerebro a través de los orificios de la nariz, así como de los órganos internos.
Este nuevo tratamiento fue posible identificarlo solo en la momia joven, pues los cuerpos del hombre y la otra mujer estaban "bastante mal conservados" y no se pudo determinar una técnica específica de momificación artificial.
Además, los expertos identificaron cuentas de collares, una horquilla y objetos de metal denso, como sellos de plomo, clavos y dos monedas o medallones, con los que fueron enterrados los individuos.
Finalmente, los resultados del estudio también revelaron otros datos relacionados con la salud de las tres momias, como la presencia de caries, protuberancias entre las vértebras (nódulos de Schmorl) y evidencia de artritis, según publicó RT.



