El personal médico de un hospital rural de Nuevo León, México, quedó asombrado al ver que una niña que nació por cesárea tenía una cola de piel y pelos de casi seis centímetros de largo en su cuerpo. El particular suceso fue el primero de este tipo en ese país, aunque a nivel mundial ya se han detectado 200 casos similares.
Según un estudio del caso publicado en el Journal of Pediatric Surgery, "la niña no tenía antecedentes de exposición a radiación o infecciones durante el embarazo". Luego de la sospresa, los médicos lograron operar con éxito la cola de la bebé recién nacida.
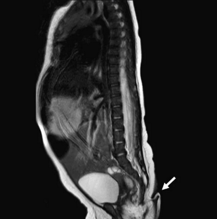
El apéndice, de forma cilíndrica y puntiaguda hacia el final, medía 5,7 centímetros de largo y tenía un diámetro de entre 3 y 5 milímetros en toda su longitud.
Si bien los datos de la pequeña se preservaron para proteger su identidad, se sabe que nació por cesárea, que sus padres tienen un excelente estado de salud y que rondan los 20 años de edad.
Los médicos, que son dirigidos por el Dr. Josué Rueda, indicaron que la bebé nació a término y que no hubo complicaciones durante el embarazo, destacó La Verdad. Es por esto que no encuentran una explicación para la cola con la que llegó al mundo.
¿Cómo era la cola?
Cuando los especialistas examinaron la cola, notaron que salía del final de su coxis y que tenía una base ligeramente corrida a la izquierda. Además, indicaron que la podía mover sin dolor, pero que tenía sensibilidad en ella pues cuando la pincharon con una aguja se puso a llorar. Tras varios análisis, notaron de que la bebé está sana; y que los resultados de las pruebas cerebrales, cardíacas, auditivas y urinarias eran normales, indicó el citado medio. Existen dos tipos de "colas humanas". Por un lado, las "pseudocolas", que son crecimientos que se asemejan a una cola pero que se originan en la columna vertebral o en tumores, es decir, son causadas por alguna enfermedad subyacente. Por otro lado, están las "colas verdaderas", que son las que contienen músculos, vasos sanguíneos y nervios. En este caso, los médicos notaron que la estructura en forma de cola estaba cubierta de pelo y piel. Luego, realizaron una radiografía lumbosacra, una prueba de imagen que ayuda al médico a ver la anatomía de la parte inferior de la espalda, pero no encontraron evidencia de anomalías o estructuras óseas dentro de la cola. Esto significa que la cola no era una cola sin función, en el sentido de un apéndice que con el tiempo ha perdido cualquier uso en el cuerpo, sino una "verdadera cola", una estructura benigna compuesta de tejido conjuntivo, músculo y nervios. Tras dos meses, los médicos volvieron a examinar a la pequeña y reconocieron que la cola había crecido alrededor de 1 centímetro. Fue por eso que determinaron que debían operársela, lo cual no presentó ningún tipo de complicación.



