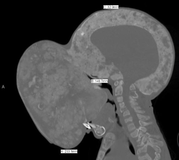
El niño cubano de 14 años al que le extirparon en un hospital de Miami un tumor facial benigno de 4,5 kilogramos falleció por insuficiencia renal y pulmonar días después de la operación, informó este domingo un medio local.
Emanuel Zayras, de Villa Clara, localidad del centro de Cuba, fue operado hace más de una semana en el Holtz Children's Hospital, división pediátrica del centro médico Jackson Memorial, y en donde tras una intervención de 12 horas el equipo de cirujanos logró extirparle el tumor del tamaño de una pelota de básquetbol.
A pesar del éxito de la cirugía, el menor falleció el pasado viernes, según el diario El Nuevo Herald.
Robert Marx, jefe de cirugía oral y maxilofacial de UHealth, Sistema de Salud de la Universidad de Miami, confirmó la noticia en un comunicado publicado la tarde del viernes en redes sociales.
"Después de visitar a Emanuel anoche y observar un rayo de esperanza por los reflejos pupilares y el tono muscular facial, esta mañana me informaron de que empeoraba gravemente. Su condición se ha deteriorado con insuficiencia renal y pulmonar", señaló el especialista, uno de los pocos médicos en Estados Unidos capaz de operar tumores de tamaño extremo.
Marx indicó que la familia del menor ha estado de acuerdo en donar el cuerpo para investigaciones, con la "esperanza de aprender más acerca de esta rara enfermedad y ayudar a las personas de todo el mundo que sufren por ella".
Emanuel Zayras nació con una displasia fibrosa poliostótica, una afección que reemplaza zonas óseas con tejido fibroso.
Este trastorno le afectó en extremidades y en el cráneo desde los 2 años, pero a partir de los 11 un bulto al lado de la nariz empezó a crecer de forma excesiva, lo que dificultaba la respiración y alimentación del menor hasta provocarle una desnutrición extrema.
Este caso tuvo dos precedentes, el de la joven haitiana Marlie Casseus y el de la vietnamita Lai Thi Dao, ambas con tumores faciales de 7 kilogramos, que en 2008 fueron operadas por el mismo doctor.
El menor cubano llegó a Miami para la intervención junto a sus padres, Noel Zayas y Melvis Vizaino, gracias a una visa humanitaria, y logró reunir los fondos gracias al respaldo de varios benefactores que sumaron su ayuda en una campaña de recaudación por internet.



