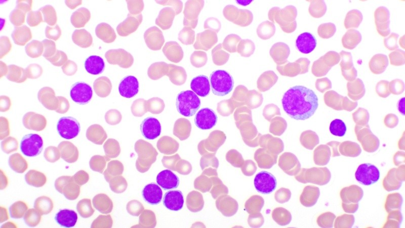
Cada 1 de septiembre se conmemora mundialmente el Día de la Leucemia Linfocítica Crónica (LLC). Si bien se carece de registros nacionales exhaustivos, se estima que en Argentina representa entre un 25 y un 30% de las leucemias diagnosticadas en adultos, lo que la convierte en la más frecuente en esa población.
Sin embargo, se trata de una enfermedad poco comprendida y muchas veces invisibilizada. Esto se debe a que su curso lento, la ausencia de síntomas evidentes en las fases iniciales y su naturaleza impredecible, hacen que muchas personas arriben al diagnóstico en forma casual, por medio de un análisis de sangre de rutina.
“El lema de la campaña global por el día mundial de la LLC es ‘Entender, decidir, prosperar’ y refleja la importancia de empoderar a los pacientes con información clara y confiable, para que puedan tomar un rol activo en su recorrido con la enfermedad”, indican desde la Asociación Leucemia Mieloide Argentina (ALMA).
Leucemia Linfocítica Crónica
Con un mayor diagnóstico después de los 50 años, la LLC es más común en mayores de 70. Entre sus signos y síntomas se incluye el agrandamiento de ganglios linfáticos, cansancio persistente, sudores nocturnos, pérdida involuntaria de peso, infecciones frecuentes y anemia. Sin embargo, en muchos casos la enfermedad no produce síntomas durante años, lo que explica por qué tantas veces se detecta en estudios de control sin sospecha previa.
Una de las particularidades más difíciles de asimilar es la llamada "regla de los tres tercios", la cual significa que un tercio de personas con LLC precisará comenzar con un tratamiento en forma inmediata tras el diagnóstico; otro tercio permanecerá en un esquema llamado "espera en observación" con controles para un seguimiento de la evolución y, si progresa, iniciar tratamiento; y, el último tercio, nunca necesitará tratamiento.
“En ocasiones, esta situación genera cierta intranquilidad en los pacientes. El médico les dice que tienen una leucemia, pero que no hay que hacer nada al respecto, al menos por ahora. En ese sentido, siempre es bueno que los pacientes entren en contacto con otros pacientes, como al acercarse a organizaciones como ALMA, porque conociendo experiencias de otros, aprendiendo de lo que otros atravesaron, se puede llevar mejor cualquier situación que genere incertidumbre, angustia, ansiedad u otras emociones difíciles de manejar”, señalaron.
LLC en Argentina
En Argentina, los pacientes con LLC enfrentan obstáculos adicionales, tanto para obtener turnos con especialistas como autorizaciones para realizarse estudios de control de la enfermedad, aspectos vitales para lograr el mejor manejo posible.
Además, terapias innovadoras libres de quimioterapia que demostraron llevar la enfermedad a niveles indetectables (incluso con tratamientos finitos, de 1 o 2 años), están aprobadas y disponibles pero muchas veces los pacientes deben sortear diversos obstáculos para conseguirlas.
“Estamos convencidos de que el primer paso es compartir información para que haya pacientes más formados y que la comunidad en conjunto entienda mejor lo que representa una enfermedad de este tipo, se ponga en los zapatos de los pacientes, desde un lugar empático, para acompañar y ser parte de la solución”, añadieron.
Esta fecha en particular busca crear conciencia en pos de lograr diagnósticos más tempranos, reducir inequidades en el acceso a la atención y garantizar que ninguna persona deba transitar la LLC en soledad y sin todo lo necesario para superarla.
Fuente: NA.



