"La pandemia de Covid-19 amenaza con debilitar los avances conseguidos estos últimos años. El impacto de la pandemia en los servicios de lucha contra la tuberculosis fue severo", aseguró el director general de la OMS, Tedros Adhanom Ghebreyesus, en su informe anual sobre la enfermedad, según la agencia de noticias AFP.
De este modo, la OMS calculó que este año podría haber entre 200.000 y 400.000 muertos más por tuberculosis, a pesar de que la enfermedad tiene cura.
Solo en India, el país donde más enfermos hay, las notificaciones de diagnósticos semanales y mensuales disminuyeron un 50% entre finales de marzo y finales de abril debido al confinamiento, señaló el informe.
Una tendencia similar se registró entre marzo y junio en Sudáfrica, otro de los países más afectados por esta patología.
"El coronavirus provocó un retroceso de los diagnósticos de tuberculosis por lo que los gobiernos tienen que diseñar un plan para recuperarlos. No hay tiempo para excusas", aseveró Sharonann Lynch de Médicos Sin Fronteras (MSF).
La OMS estimó que el diagnóstico de la tuberculosis y su tratamiento con antibióticos permitieron salvar la vida de 58 millones de personas entre 2000 y 2018.
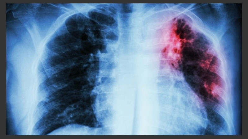
No obstante, esta enfermedad que afecta a los pulmones y se transmite por la expectoración de pequeñas partículas, sigue siendo una de las 10 primeras causas de muerte en el mundo, indicaron en el informe.
Aunque la tuberculosis afecta a todo el planeta, más del 95% de los casos y de los fallecidos se encuentran en países en vías de desarrollo.
En 2019, hubo cerca de 10 millones de nuevos contagiados, una cifra menor que en años anteriores, indicó el trabajo.
Ocho países concentraron dos tercios de los nuevos casos: India, Indonesia, China, Filipinas, Pakistán, Nigeria, Bangladés y Sudáfrica.
Las 1,4 millones de personas que fallecieron el año pasado muestran un ritmo "demasiado lento" en el combate contra la enfermedad para la OMS, ya que no se ajusta a las expectativas que se habían fijado para su erradicación en 2030.



