El actor Bruce Willis anunció este miércoles su retiro de la actuación como consecuencia de un diagnóstico médico en el que le comunicaron que tiene afasia, un trastorno del lenguaje que fue identificado en 1864 por el médico francés Armand Trousseu. Esta enfermedad se caracteriza por provocar la imposibilidad de hablar.
La enfermerdad puede manifestarse por varios motivos: un ACV; un traumatismo craneoencefálico (es decir, un accidente); infecciones o tumores en el cerebro; o enfermedades degenerativas, como el Parkinson o el Alzheimer.
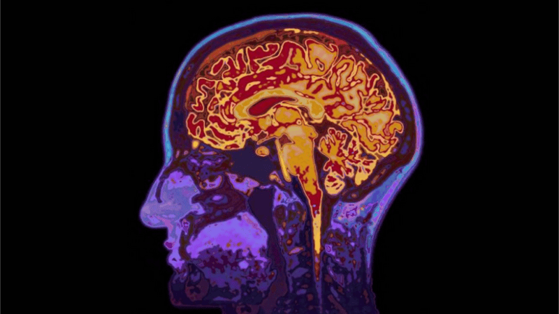
Cuáles son los tipos de afasia y qué producen
La ciencia ha identificado dos tipos de afasia: motora (o de Broca) y sensorial (o de Wernicke). La primera se produce por una lesión de la circunvolución frontal inferior izquierda (o de Broca) y áreas adyacentes, provocando que la persona casi no pueda hablar con fluidez y expresar frases cortas. En este caso no se ve afectada la comprensión, y sus síntomas son la deformación de palabras al hablar, la presencia de defectos verbales y de articulación y un estilo telegráfico al expresarse. La afasia sensorial, por su parte, se da por lesiones de áreas temporo-parietales (área de Wernicke) y sí afecta la capacidad de comprensión. Quienes la padecen son capaces de hablar con oraciones largas carentes de significado, agregan palabras y neologismos, y cambian los vocablos por otros. Las personas con afasia sensorial quedan incapacitadas casi por completo para comprender su habla y lo que dicen los demás. Algunas personas logran recuperarse por completo sin necesidad de un tratamiento, lo que en general se da en quienes sufren un ataque transitorio isquémico, un tipo de ACV en el que se corta el flujo de sangre al cerebro. En estos casos, en cuestión de horas o días se recupera la capacidad del lenguaje. Sin embargo, la recuperación no es tan rápida en la mayoría de los casos, y tampoco es seguro que sea completa ya que suelen quedar secuelas para las cuales es necesario recurrir a terapias de habla y lenguaje, que pueden durar años. Estas terapias pueden realizarse de manera individual o grupal, y además de la intervención de neuropsicólogo y un logopeda, se puede requerir la ayuda de fisioterapeutas, músicoterapeutas, psicólogos clínicos y terapeutas vocacionales. Durante el tratamiento hay que usar oraciones cortas con los pacientes, incluir a la persona afectada en las conversaciones, estimular el hablar y evitar hacerle correciones cuando se exprese. Entre las celebridades que sufrieron la enfermedad, antes de Willis, se cuentan el compositor francés Maurice Ravel, el escritor mexicano Sergio Pitol, el actor Terry Jones (miembro de Monty Python) y la actriz Emilia Clarke, de Juego de tronos.
¿Cómo rehabilitar una afasia?



