No existen cerebros "masculinos" o "femeninos" sino uno solo con características combinadas de cada género y que en cada persona representa un "mosaico único", según la investigadora israelí Daphna Joel, que vaticina un futuro "más intersexual" en el innovador estudio que acaba de publicar.
"Ni los hombres son de Marte ni las mujeres de Venus, como se ha repetido tantas veces", afirmó a la agencia EFE la psicóloga e investigadora de la Universidad de Tel Aviv, directora del estudio que respalda su afirmación, publicado esta en semana en la revista científica Proceedings of The National Academy of Science.
A la cabeza de un equipo de trece profesionales internacionales, Joel quiso comprobar si los hombres y las mujeres nacen con cerebros diferentes "del mismo modo que tienen dos tipos de genitales".
"Las diferencias en el cerebro por sexo/género son de alto interés social porque su existencia es generalmente asumida para demostrar que los seres humanos pertenecemos a dos categorías distintas, no sólo en términos de sus genitales, y así justificar el tratamiento diferencial entre machos y hembras", plantea el estudio.
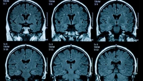
En su investigación se observaron los cerebros de 1.400 personas a través de escáneres MRI (imágenes por resonancia magnética, en sus siglas en inglés) para analizar cuestiones vinculadas al género como el tamaño de algunas regiones cerebrales -distribución de la materia blanca, gris- y la fortaleza de las conexiones neuronales, que son algunas de las principales diferencias entre hombres y mujeres.
Con las resonancias vieron que hay rasgos cerebrales más comunes a un género que a otro, pero el estudio les mostró que los casos de individuos con rasgos "propios" de su género son escasos (un 8 por ciento).
"Lo que contemplamos es que es muy común que la gente tenga cerebros en los que se combinan características típicamente femeninas y también masculinas", señala la investigadora israelí.
En un paso más allá, Joel y su equipo quisieron respaldar estos resultados con un examen sobre el comportamiento unas 5.500 personas, hombres y mujeres.
Teniendo en cuenta rasgos personales, inclinaciones y reacciones ante distintos estímulos o situaciones, "se comprobó que la consistencia interna (vínculos entre los diferentes elementos analizados) es extremadamente rara".
Solo un uno por ciento eran "consistentes" en características fundamentalmente masculinas o femeninas, mientras que un amplio porcentaje, próximo al 70 por ciento, presentaba rasgos combinados.
Por lo general, explica, hombres y mujeres son muy similares en todo lo que puede medir la psicología: habilidades intelectuales, de comunicación y emocionales, características personales, entre otras.
Pero hay algunos dominios en los que las diferencias por sexo "son más destacables", como sucede en ocasiones con la agresividad entre los hombres y la compasión en las mujeres, lo que hace que los denominemos "rasgos masculinos o femeninos".
"Sólo cuando analizas grupos de personas ves las diferencias, pero si los contemplas como dos fenómenos individuales, comprobarás que cada persona es un mosaico exclusivo", afirma entusiasmada Joel.
Simplemente, explica, algunos rasgos son más comunes entre las féminas si el referente es un hombre y viceversa, mientras que en muchos casos son comunes a ambos géneros.
"Nuestros resultados demuestran que independientemente de las causas de las diferencias observadas en el cerebro y el comportamiento (naturaleza o crianza), los cerebros humanos no pueden ser clasificados en dos clases distintas: cerebro masculino/cerebro femenino", concluye la investigación.



