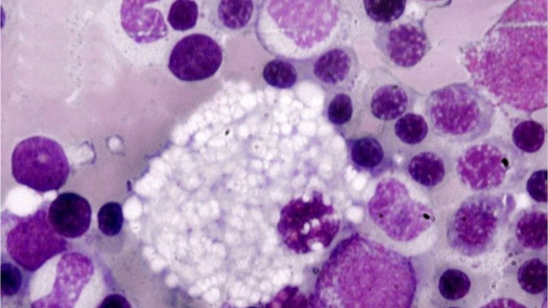
La denominada enfermedad de Niemann-Pick tipo C se expresa como una rara dolencia, siendo genética y de tipo autosómica recesiva. Esto último quiere decir que ambos padres son portadores de aquel gen que la provoca y es del tipo lisosomal, por lo que se da un mal tráfico del colesterol intracelular. En vez de procesarse para sus distintas funciones, el colesterol queda almacenado dentro de las células generando su deterioro y posterior muerte o anulación de funciones. Los principales órganos afectados son el cerebro, hígado y bazo.
Se trata de una patología progresiva que se manifiesta con un marcado deterioro neurológico que va afectando las funciones motrices, metabólicas y conductuales. Puede tener presentación neonatal, infantil, juvenil o adulta, la secuencia de aparición de los síntomas y la progresión varían de acuerdo al tipo de mutación genética específica que tenga la persona.
Enfermedad de Niemann-Pick tipo C
La progresión mencionada hace que, por ejemplo, una persona comience a no poder orientar sus ojos, ir perdiendo paulatinamente el equilibrio, se deterioran sus funciones motrices, no puede controlar sus movimientos, continúa con problemas deglutorios, debe ser alimentado con sonda, va perdiendo su capacidad de hablar y en muchos casos tiene crisis convulsivas. Mientras su corazón resista, sus secreciones y los problemas respiratorios le provocan frecuentes neumonías. Todo este proceso dura varios años.
Se debe de considerar a esta enfermedad de una manera especial, ya que por ser de baja incidencia es poco conocida y no hay protocolos que garanticen un tratamiento efectivo. Aunque la incidencia de casos es baja, tiene una mortalidad prematura del 100%, causa suficiente para impulsar su difusión, detección e investigación en aras de una esperanza de cura.
En Argentina existe la Fundación Niemann Pick presidida por Marcelo Minotti, cuya hija falleció a causa de la enfermedad. Desde allí buscan:
-Difundir las características de los distintos tipos de la enfermedad dentro de la comunidad de profesionales de la salud, para favorecer el diagnóstico temprano y el acceso a un tratamiento integral adecuado.
-Conseguir que los estudios bioquímicos, genéticos y prenatales para el diagnóstico y la detección temprana de estas enfermedades se realicen en Argentina.
-Recorrer el país detectar casos y brindar la información, el asesoramiento y el apoyo necesario a pacientes y familias afectadas.
-Promover la difusión, investigación, y desarrollo de terapias efectivas de cura para los distintos tipos de la enfermedad de Niemann Pick en particular y para otras enfermedades crónicas, raras o discapacitantes en general.
-Fomentar la integración, la equiparación de oportunidades, el desarrollo de las personas con discapacidad.
-Relacionarse y colaborar con otras Fundaciones, Asociaciones u Organizaciones del país y/o del exterior vinculadas con el estudio y tratamiento de esta y otras enfermedades crónicas, raras, lisosomales, neurometabólicas y/o discapacitantes.
Fuente: NA



