Una bebita nació con un pequeño feto en su vientre. Se trata de un caso de “gemelo parásito” o “fetus in fetu”, que esta vez se registró en Barranquilla, Colombia. La criatura llamada Itzamara fue sometida a una cirugía similar a una cesárea. La anomalía se presenta en uno de cada un millón de embarazos, pero esta fue la primera vez que se identifica antes del parto.
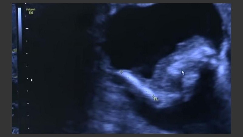
De acuerdo a lo que publicó el diario Página 12, durante su séptimo mes de embarazo, una mujer llamada Mónica Vega se realizó una ecografía de rutina en Barranquillas. Fue entonces que se detectó que dentro del feto que se estaba gestando en su vientre había otro feto, más pequeño pero con cordón umbilical y líquido amniótico.
La anomalía conocida como “fetus in fetu” se produce cuando las células no se separan en el momento indicado. Los gemelos dividen sus células en la primera semana de gestación y a partir de allí comienzan a formarse. Si ese proceso se da en la segunda semana se producen siameses y si es después del día 17 se llega al “fetus in fetu”.
En el caso de Barranquila, a las 24 horas de haber nacido debieron practicarle a la beba Itzamara una cirugía similar a una cesárea para extraerle la masa que se había formado en su interior.
El cirujano fetal Miguel Parra, que atendió el caso, contó que el feto “carece de corazón y cerebro pero sí tiene sus cuatro extremidades y huesos”. Itzamara fue operada con éxito y se encuentra en buen estado de salud.



